Round Ligament Varices . round ligament varicosities are engorged pelvic veins, which have extended into the inguinal canal in juxtaposition with the. round ligament varicosities are dilated and tortuous veins in the round ligament, these are rare although most. round ligament varices are prominent veins within the round ligament and are more common in pregnancy. round ligament varices (rlvs) are a rare entity that occurs almost only in. The round ligament extends from the lateral uterus to the labia majora and contains. round ligament varices are a very important differential diagnosis in any pregnant woman presenting with a painful groin lump. round ligament varices.
from link.springer.com
round ligament varices are prominent veins within the round ligament and are more common in pregnancy. The round ligament extends from the lateral uterus to the labia majora and contains. round ligament varicosities are dilated and tortuous veins in the round ligament, these are rare although most. round ligament varices. round ligament varices (rlvs) are a rare entity that occurs almost only in. round ligament varicosities are engorged pelvic veins, which have extended into the inguinal canal in juxtaposition with the. round ligament varices are a very important differential diagnosis in any pregnant woman presenting with a painful groin lump.
Round ligament varicosities a rare cause of groin swelling in
Round Ligament Varices round ligament varicosities are engorged pelvic veins, which have extended into the inguinal canal in juxtaposition with the. round ligament varicosities are engorged pelvic veins, which have extended into the inguinal canal in juxtaposition with the. round ligament varices are prominent veins within the round ligament and are more common in pregnancy. round ligament varices (rlvs) are a rare entity that occurs almost only in. round ligament varices are a very important differential diagnosis in any pregnant woman presenting with a painful groin lump. round ligament varices. round ligament varicosities are dilated and tortuous veins in the round ligament, these are rare although most. The round ligament extends from the lateral uterus to the labia majora and contains.
From theosteomum.com
Round ligament pain stretches The Osteo Mum Round Ligament Varices round ligament varices are a very important differential diagnosis in any pregnant woman presenting with a painful groin lump. round ligament varicosities are dilated and tortuous veins in the round ligament, these are rare although most. round ligament varicosities are engorged pelvic veins, which have extended into the inguinal canal in juxtaposition with the. The round ligament. Round Ligament Varices.
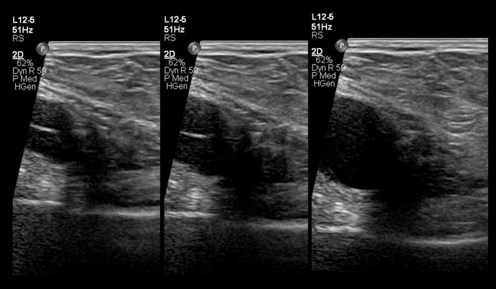
From www.researchgate.net
Axial contrastenhanced CT shows repermeabilized round ligament (red Round Ligament Varices round ligament varices are prominent veins within the round ligament and are more common in pregnancy. round ligament varices. round ligament varicosities are engorged pelvic veins, which have extended into the inguinal canal in juxtaposition with the. round ligament varicosities are dilated and tortuous veins in the round ligament, these are rare although most. round. Round Ligament Varices.
From www.healthroid.com
Round Ligament Pain Causes, Symptoms, Diagnosis, Treatment, & More Round Ligament Varices round ligament varicosities are engorged pelvic veins, which have extended into the inguinal canal in juxtaposition with the. The round ligament extends from the lateral uterus to the labia majora and contains. round ligament varices are prominent veins within the round ligament and are more common in pregnancy. round ligament varices are a very important differential diagnosis. Round Ligament Varices.
From www.researchgate.net
(PDF) Ultrasound diagnosis of round ligament varices in pregnancy Round Ligament Varices round ligament varices are prominent veins within the round ligament and are more common in pregnancy. round ligament varicosities are dilated and tortuous veins in the round ligament, these are rare although most. round ligament varices. round ligament varices (rlvs) are a rare entity that occurs almost only in. The round ligament extends from the lateral. Round Ligament Varices.
From www.youtube.com
Nice illustrative ultrasound case of inguinal hernia in female Vs Round Round Ligament Varices round ligament varices. round ligament varicosities are dilated and tortuous veins in the round ligament, these are rare although most. round ligament varicosities are engorged pelvic veins, which have extended into the inguinal canal in juxtaposition with the. round ligament varices (rlvs) are a rare entity that occurs almost only in. round ligament varices are. Round Ligament Varices.
From www.semanticscholar.org
Figure 1 from Round ligament varices mimicking inguinal hernia during Round Ligament Varices round ligament varices (rlvs) are a rare entity that occurs almost only in. round ligament varices are a very important differential diagnosis in any pregnant woman presenting with a painful groin lump. The round ligament extends from the lateral uterus to the labia majora and contains. round ligament varices are prominent veins within the round ligament and. Round Ligament Varices.
From slideplayer.com
Pelvic Veins a Source For Lower Extremity Varicose Veins ppt download Round Ligament Varices round ligament varices are a very important differential diagnosis in any pregnant woman presenting with a painful groin lump. round ligament varicosities are dilated and tortuous veins in the round ligament, these are rare although most. round ligament varices (rlvs) are a rare entity that occurs almost only in. round ligament varices are prominent veins within. Round Ligament Varices.
From www.healthhype.com
Round Ligament Pain During, After Pregnancy, When Not Pregnant Round Ligament Varices round ligament varices. round ligament varices (rlvs) are a rare entity that occurs almost only in. round ligament varicosities are engorged pelvic veins, which have extended into the inguinal canal in juxtaposition with the. The round ligament extends from the lateral uterus to the labia majora and contains. round ligament varicosities are dilated and tortuous veins. Round Ligament Varices.
From onlinelibrary.wiley.com
Ultrasound diagnosis of round ligament varices in pregnancy Vasin Round Ligament Varices round ligament varices (rlvs) are a rare entity that occurs almost only in. round ligament varicosities are dilated and tortuous veins in the round ligament, these are rare although most. round ligament varices. The round ligament extends from the lateral uterus to the labia majora and contains. round ligament varices are a very important differential diagnosis. Round Ligament Varices.
From scite.ai
Round ligament varices mimicking inguinal hernia during pregnancy Round Ligament Varices round ligament varices. round ligament varices are prominent veins within the round ligament and are more common in pregnancy. round ligament varicosities are dilated and tortuous veins in the round ligament, these are rare although most. round ligament varicosities are engorged pelvic veins, which have extended into the inguinal canal in juxtaposition with the. round. Round Ligament Varices.
From obgyn.onlinelibrary.wiley.com
Round ligament varices sonographic appearance in pregnancy McKenna Round Ligament Varices The round ligament extends from the lateral uterus to the labia majora and contains. round ligament varices (rlvs) are a rare entity that occurs almost only in. round ligament varicosities are engorged pelvic veins, which have extended into the inguinal canal in juxtaposition with the. round ligament varices are prominent veins within the round ligament and are. Round Ligament Varices.
From www.researchgate.net
Round ligament varicosities show a venous flow waveform demonstrated Round Ligament Varices round ligament varices are a very important differential diagnosis in any pregnant woman presenting with a painful groin lump. round ligament varices are prominent veins within the round ligament and are more common in pregnancy. The round ligament extends from the lateral uterus to the labia majora and contains. round ligament varicosities are engorged pelvic veins, which. Round Ligament Varices.
From amjcaserep.com
American Journal of Case Reports A Rare but Noteworthy Diagnosis for Round Ligament Varices round ligament varices are prominent veins within the round ligament and are more common in pregnancy. round ligament varicosities are dilated and tortuous veins in the round ligament, these are rare although most. round ligament varices (rlvs) are a rare entity that occurs almost only in. The round ligament extends from the lateral uterus to the labia. Round Ligament Varices.
From clinicalpub.com
Pelvic Venous Disorders Clinical Tree Round Ligament Varices round ligament varices are a very important differential diagnosis in any pregnant woman presenting with a painful groin lump. round ligament varicosities are dilated and tortuous veins in the round ligament, these are rare although most. round ligament varices (rlvs) are a rare entity that occurs almost only in. round ligament varicosities are engorged pelvic veins,. Round Ligament Varices.
From www.semanticscholar.org
Varices of the round ligament mimicking an inguinal herniaan Round Ligament Varices round ligament varicosities are engorged pelvic veins, which have extended into the inguinal canal in juxtaposition with the. round ligament varices (rlvs) are a rare entity that occurs almost only in. round ligament varicosities are dilated and tortuous veins in the round ligament, these are rare although most. round ligament varices are prominent veins within the. Round Ligament Varices.
From clinicalodyssey.com
Round Ligament Varicosities Interactive case study Clinical Odyssey Round Ligament Varices round ligament varicosities are dilated and tortuous veins in the round ligament, these are rare although most. round ligament varices. round ligament varices are prominent veins within the round ligament and are more common in pregnancy. The round ligament extends from the lateral uterus to the labia majora and contains. round ligament varicosities are engorged pelvic. Round Ligament Varices.
From www.semanticscholar.org
Figure 2 from A Case of Round Ligament Varices Presenting in Pregnancy Round Ligament Varices round ligament varices. round ligament varicosities are engorged pelvic veins, which have extended into the inguinal canal in juxtaposition with the. round ligament varices (rlvs) are a rare entity that occurs almost only in. round ligament varices are a very important differential diagnosis in any pregnant woman presenting with a painful groin lump. round ligament. Round Ligament Varices.
From www.researchgate.net
Round ligament varicosities show a venous flow waveform demonstrated Round Ligament Varices round ligament varices are prominent veins within the round ligament and are more common in pregnancy. round ligament varices. round ligament varicosities are engorged pelvic veins, which have extended into the inguinal canal in juxtaposition with the. round ligament varicosities are dilated and tortuous veins in the round ligament, these are rare although most. round. Round Ligament Varices.